توضیحات

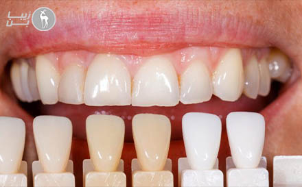
تخفیف ویژه کامپوزیت ونیر هر واحد دندان توسط دکتر لشگری در تهران

………………………………

بدوی عوارض با ماندگاری بالا

اصلاح رنگ دندان ها

استفاده از مواد درجه 1 با ماندگاری بالا

بدون تراش دندان

مجهز به سیستم ضد عفونی کننده

……………

مزایا و معایب ونیر کامپوزیت:

  • جهت ترمیم حفره های دندان استفاده می شود
  • مناسب برای پر کردن فاصله بین دندان ها 
  • ترمیم دندان های شکسته یا ترک خورده 
  • بهبود ظاهر و رنگ دندان ها 
  • افزایش طول عمر دندان های قدیمی 
  • روشی مناسب، به صرفه و سالم برای دندان ها است.
  • این روش در مدت زمان بسیار کوتاه می باشد و عموما در یک جلسه انجام می شود
  • زمان پر کردن دندان با کامپوزیت بسیار کوتاه بوده و معمولا در یک جلسه قابل انجام است.
  • دارای تنوع رنگ برای هر بیمار و متناسب با سایر دندان های وی

امکانات و ویژگی ها

  • مخاطب: قابل استفاده برای بانوان و آقایان
  • بدون محدودیت در تعداد خرید: بله
  • جای پارک مناسب: دارد
  • پرسنل با اخلاق و حرفه ایی: دارد

جزئیات تخفیف

-بابت مواد مصرفی 300 تومان در مطب به صورت جداگانه دریافت میگردد

- کسب و کار ملزم به رعایت کلیه موارد درج شده در این پیشنهاد است

- انجام کلیه خدمات پزشکی منوط به تایید پزشک است

- کسب و کار حق دریافت هیچ گونه وجه اضافی به جز هزینه های درج شده، بابت این پیشنهاد را ندارد

پرسش و پاسخ

خرید کوپن

کامپوزیت ونیر هر واحد دندان توسط دکتر لشگری
0 خرید
5,000,000 تومان 81٪ تخفیف
950,000 تومان

آدرس و شماره تماس ما

اینستاگرام : @drlashgari
تماس : 09381574764
تماس : 02166907753
تماس : 02166438291
آدرس : تهران، ستارخان، نرسیده به توحید، خیابان کوثر دوم، پلاک یک، ساختمان دلگشا، طبقه دوم، واحد 16، دندانپزشکی لشگری
شرایط استفاده
بدون محدودیت در تعداد خرید
استفاده از خدمات فقط با ارائه کوپن میسر می باشد
ارائه کد تخفیف الزامی می باشد
در صورت رزرو وقت و عدم مراجعه، کوپن تخفیف ابطال میگردد
قبل از تهیه کوپن بررسی های لازم را به عمل آورید
استرداد وجه کوپن های خریداری شده میسر نیست
ساعت و روزهای کاری: شنبه الی چهارشنبه 13 الی 20
قابل استفاده برای بانوان و آقایان

اشتراک با دوستان

برچسب ها

از آخرین تخفیف ها مطلع شوید

با وارد کردن ایمیل خود آخرین تخفیف ‌های زیبایی را دریافت کنید